当前位置:肿瘤瞭望>资讯>访谈>正文

朱笕青教授:一则患者生存13年、6次复发的卵巢癌病例

作者:肿瘤瞭望   日期:2021/6/30 10:49:06  浏览量:10622

肿瘤瞭望版权所有,谢绝任何形式转载,侵犯版权者必予法律追究。

中国抗癌协会妇科肿瘤专业委员会(CGCS)全国第十八届学术大会不久前落下帷幕,

编者按:中国抗癌协会妇科肿瘤专业委员会(CGCS)全国第十八届学术大会不久前落下帷幕,在卵巢癌专场,中国科学院大学附属肿瘤医院(浙江省肿瘤医院)朱笕青教授分享了一则复发卵巢癌病例,引发现场专家的热烈讨论。

 
 
首次治疗
 
吴××  50岁
 
2008年2月在外院拟诊“卵巢癌?伴小肠不全梗阻”,腹水找到腺癌细胞,2008.2.26予DDP 60mg腹腔化疗1次。
 
2008.3.1行卵巢癌根治术(全子宫双附件+大网膜+阑尾+腹膜后肿大淋巴结切除+盆腹腔减瘤术)。
 
术中探查:淡血性腹水约4000ml,肝肾隐窝5cm*6cm菜花状结节,肝表面可见粟粒状结节,大网膜挛缩呈饼状,结肠、小肠、肠系膜及腹膜表面布满粟粒至黄豆大结节,左结肠旁沟及2*3cm结节,右结肠旁沟结肠及回盲部4*5*7cm团块灶,腹主动脉旁及盆腔淋巴结未及明显肿大。子宫双附件、结肠、直肠粘连、包裹成团块约10*10*12cm大小,表面菜花样,直肠窝被菜花状结节封闭,直肠表面受侵。术后残留灶小于1cm,达到R1切除。
 
术后病理:(右)卵巢浆液性囊腺癌(中分化),累及(右)输卵管、子宫壁及(大网膜、子宫直肠窝、壁层腹膜、乙状结肠系膜、肝肾隐窝、直肠表面、左结肠旁沟、阑尾、右结肠旁沟)。(腹主动脉旁)1/3只淋巴结见癌转移。
 
术后诊断:卵巢浆液性囊腺癌IIIC期。
 
2008.3.11-2008.9.22予DDP+CTX化疗6次(其中第1次化疗时,DDP100mg腹腔化疗)。

第1次复发(PFI1st=55月)
 
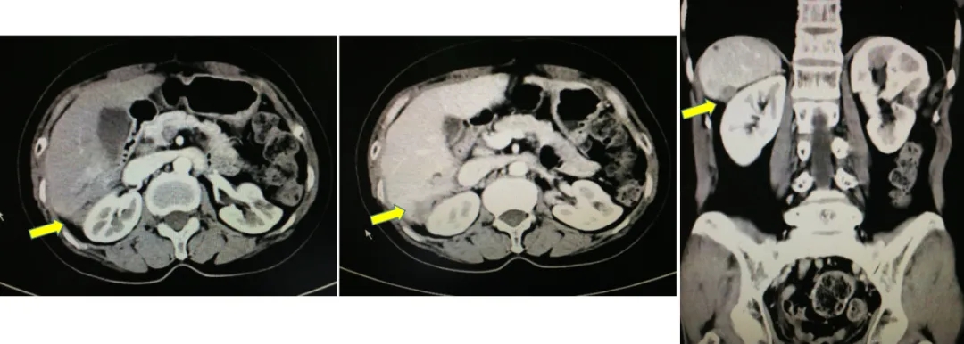
2013.5.6在我院(中国科学院大学附属肿瘤医院)检测CA125水平为298.8U/ml。CT:胸部(-),肝肾隐窝异常信号,脾脏前内方囊性占位灶,考虑转移灶;肠系膜上动脉水平、腹主动脉偏左侧结节灶;盆腔(-)。
 
2013.5.10 PET-CT:肝肾隐窝、脾肾间隙、脾门旁、腹膜后可见斑片状、囊实性及结节状影,实质部分FDG代谢增高,考虑转移。
 
2013.5.10 PET-CT检查结果
 
2013年没有PAPP抑制剂和贝伐珠单抗,这位患者下一步该如何治疗?选择二次减瘤术+辅助化疗,还是选择二线化疗,还是其它方案?
 
现场专家针对以上问题踊跃发言,部分专家支持二线化疗;另一种观点是手术要考虑经济状况、患者意愿、合并症等因素;有的专家支持手术治疗。朱笕青教授介绍道,这位患者的德国 AGO评分显示不适合手术,而中国SGOG的 iMODEL 评分是4.1分(4.7分以下者可手术)。
 

第1次复发治疗
 
2003年5月,患者进入SOC1(二次减瘤术vs化疗)临床试验,被随机分入化疗组。
 
2013.5.15-2013.10.30予紫杉醇+卡铂方案化疗7疗程,化疗期间的CA125最低至38.8u/ml。2013.11.26,CA125水平降到25u/ml(首次达正常值以下)。
 
CA125变化

第2次复发(PFI2nd=7个月)
 
2014.4.12患者的CA125上升至81u/ml,2014.6.5 CA125上升至141u/ml。
 
B超:肝脏右后叶近肾区局部片状回声欠均,左侧肾上腺区囊实性团。
 
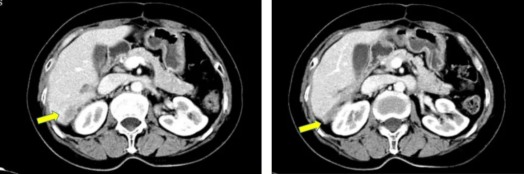
2014.6.11 CT:脾周囊性低密度灶2.4*2.7cm,较2014.2.26增大,腹主动脉旁肿大淋巴结,考虑“卵巢癌复发”。
 
CT检查结果
 
下一步怎么办?这位患者在化疗后很短时间又肿瘤进展,现在能否考虑手术?
 
针对这个问题,一位现场专家认为第2次复发时的病灶还在原来的位置,应该再次接受手术治疗。

第2次复发治疗
 
2014.6.22行再次减瘤术(脾切除+胰尾切除+部分左肾上腺切除+肝肾隐窝结节切除+腹主动脉旁淋巴结切除),术后无肉眼残留(R0切除)。
 
2014.7.4~2014.11.25进行健择+DDP方案6疗程治疗。第2疗程化疗前CA125将至22U/ml(术前CA125为141u/ml)。
 
病理诊断结果

第3次复发(PFI3rd=23个月)
 
CA125水平:2016.5.11 19.9U/ml,2016.9.21 64.76U/ml,2016.10.10 108.2U/ml。
 
2016.10.12查CT:右肝包膜下小片状低密度影,建议复查。
 
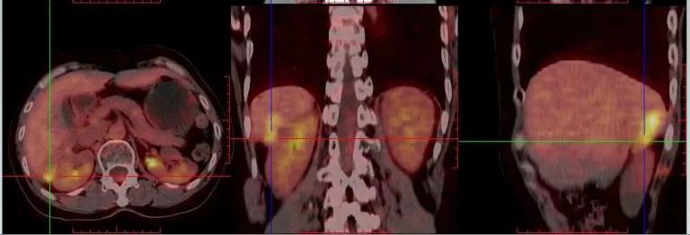
2016.10.14查PET-CT: 盆腔内软组织密度灶,FDG代谢异常增高,考虑转移灶;右肝后下段包膜处结节样、片状转移灶;左肾前方斑片状,腹主动脉管壁处(L3椎体水平)FDG代谢轻度增高,考虑肿瘤活性组织存在。
 
PET-CT检查结果
 
三次减瘤术的适应症如何把握?
 
讨论嘉宾认为,是否给予手术,关键是病灶能否切干净。患者的肿瘤相对局限,如果能切除干净,患者的一般情况较好,应先选择手术。

第3次复发治疗
 
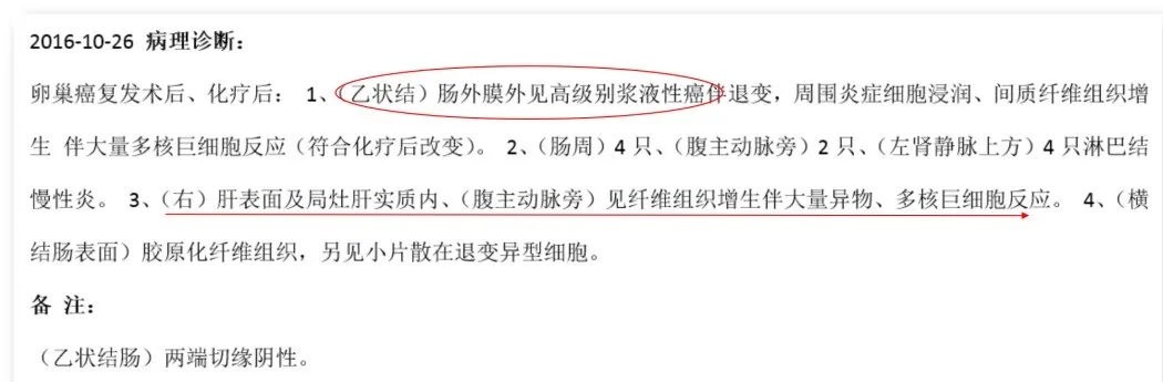
2016.10.26行三次减瘤术(乙状结肠部分切除侧侧吻合+腹盆腔减瘤+腹膜后淋巴结切除),术后无肉眼残留。
 
术中所见
 
病理诊断
 
术后给予化疗:2016.11.10-2017.1.13行紫杉醇+卡铂化疗4次。因神经毒性,2017.2.3-2017.3.17改为多西他赛+卡铂化疗3次。

第4次复发(PFI4th=11个月)
 
2017-10-26当地查CA125水平为46.3U/ml,2017-12-4我院查CA12水平为110.9U/ml,CT显示肝肾间隙及右肝包膜下片状影较前增大,考虑疾病复发。
 
患者不愿意接受手术,2017.12.15-2018.4.12行多西他赛+卡铂化疗6疗程。
 
CT检查结果

第5次复发(PFI5th=11个月)
 
2019.5.8查CA125为78.3U/ml,CT显示右肝后缘欠光整伴片状低密度影。基因检测BRCA1致病性突变,诊断为铂敏感复发卵巢癌。2019.5-2021.4入组BGB-290-102单臂临床研究,口服PARP抑制剂治疗。
 
CT检查结果

第6次复发(PFI6th=24个月)
 
2021.4.23复查CA125上升至70.2U/ml。2021.4.24 CT:肝肾隐窝病灶增大,考虑复发。患者退出BGB-290临床试验。
 
2021.5.8 PET-CT:肝肾隐窝转移灶。2021.5.12复查CA125水平为95.5U/ml。
 
PET-CT检查结果
 
PARPi后线治疗获得了不错疗效,缓解持续时间达2年。目前患者已经使用过PARPi,下一步怎样治疗?
 
一位讨论嘉宾认为,复发后病灶依然有出现在肝肾隐窝,针对这个部分的病灶,可以考虑介入放疗;相反的观点是放疗会加重组织粘连,不利于后续的手术治疗。一位专家建议:PARPi治疗后已有2年缓解时间,可以继续化疗。另一种观点是如果患者接受,再次进行手术也有可取之处。

第6次复发治疗
 
2021.5.18行再次减瘤术(右肝部分切除+十二指肠修补术)。
 
2021.6.4多西他赛+卡铂化疗1次(拟用多西他赛+卡铂+贝伐珠单抗)。
 
再次减瘤术
 
术后病理
 
朱笕青教授对这则病例进行总结:该病人自发病以来,生存期超过13年,得益于再次减瘤术和新型抗肿瘤药物的开发与进展(如PARP抑制剂);再次减瘤术可使部分铂敏感复发卵巢癌的患者获得生存获益,R0切除是关键;我们体会,一旦判断肿瘤复发,越早实施手术越好,肿瘤负荷小更容易做到完全切除。
 
专家简介

本内容仅供医学专业人士参考


卵巢癌

分享到: 更多