当前位置:肿瘤瞭望>资讯>正文

癫痫病灶不好找?前海人寿南宁医院PET-CT来诊断!

作者:肿瘤瞭望   日期:2024/7/23 17:47:13  浏览量:8167

肿瘤瞭望版权所有,谢绝任何形式转载,侵犯版权者必予法律追究。

有一位9岁的小朋友,平时身体健康,一年前因发热出现抽搐,持续时间约十几秒至30秒,并且意识不清。开始时出现这个症状频率为一个月一次,两月后又因发热,出现一天10余次癫痫发作,到当地妇幼医院检查,诊断抽搐伴发热惊厥,服药后症状缓解。小患者在出院后没有坚持服药,半年后再次出现发热、癫痫。虽然经过住院治疗,出院后坚持服药,可是近期却再次出现上述症状,在停药检查时每隔4个小时癫痫规律发作一次。
 
经了解,患者爷爷的兄弟有精神方面疾病,在其他医院影像诊断MRI示左侧海马萎缩双侧海马信号异常;海马MRS示双侧海马NAA/(Cr+Cho)比值减低,提示神经元减少。
 
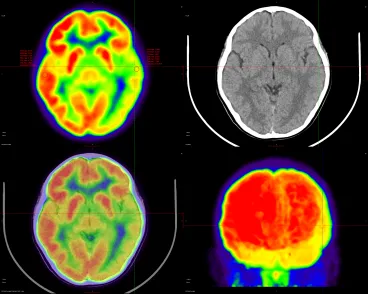
为了明确癫痫病灶,患者家属听从医生建议,带着孩子到前海人寿南宁医院进行PET-CT检查。完成检查后,医院PET-CT结果展示以下表现:
 
 
左侧枕叶病灶最明显处SUV最大值为3.939,其放射性摄取与对侧相应部位脑皮质相比降低约25.8%(对侧相应部位SUV最大值为5.106)
 
 
左侧颞叶,SUV最大值为3.849,其放射性摄取与对侧相应部位脑皮质相比降低约36.11%(对侧相应部位SUV最大值为5.545)
 
针对PET-CT呈现的结果,核医学科医生给出了相应的诊断意见:
 
1.左侧颞叶等FDG代谢明显减低,以左侧颞叶及左下侧颞叶最明显,考虑癫痫灶可能。
 
2.左侧枕叶等FDG代谢多个局限性放射性摄取明显减低,考虑癫痫灶可能。
 
了解癫痫
 
癫痫是由脑部神经元异常放电所导致的以突发、反复和短暂的中枢神经系统失常为特征的慢性疾病。我国癫痫发病率约为0.9‰~4.8‰,其中难治性癫痫约占25%~30%。目前,药物治疗是治疗癫痫的基本方法,但对于难治性癫痫以及继发性癫痫患者而言,药物治疗效果有限,外科手术仍然是患者达到长期控制发作目标的有效治疗手段,而决定手术治疗疗效的关键是对癫痫灶的准确定位。
 
 
18F-FDG PET-CT作为一种无创性的脑代谢及功能显像方法,能够清晰显示解剖结构的同时,可提供大脑生理、代谢等功能信息,进而提高癫痫诊断的灵敏度和准确率。通常情况下,发作期致痫灶区由于神经元细胞异常放电,能量消耗增加,局部脑皮质葡萄糖代谢增高,而发作间期因皮质萎缩、神经元细胞减少及突触活性减低等各种原因,脑皮质葡萄糖代谢减低。研究显示,PET-CT对癫痫灶检出率约为80%~90%,如通过定量分析,检出率可超过90%,即使是针对MRI阴性的癫痫,18F-FDG PET显像仍可以进一步准确定位80%的患者。同时,将18F-FDG PET图像与MRI图像进行融合更有助于发现隐匿性、局灶性发育不良病灶,增加患者和医生对手术治疗的信心,影响手术决策。
 
前海人寿南宁医院核医学科简介
 
前海人寿南宁医院核医学科拥有德国西门子Biograph Horizon PET/CT全身扫描仪,是具有卓越的CT和PET/CT图像和高端·人工智能的检查设备,拥有完善的医护人员团队,医师团队配置齐全,有主任医师2名,主治医师1名,其中硕士研究生1名,曾在国内知名医院学习、进修,且在PET/CT的诊断方面有丰富经验,对肿瘤的良恶性鉴别诊断、恶性肿瘤的术前分期及放化疗的评估有着丰富的临床经验,科室秉承医诚业精、奉献卓越的院训,坚持以病人为中心,以科学的管理、精湛的业务水平为广大患者热诚服务。
 
部分摘取自吉林大学中日联谊医院核医学科公众号《癫痫病灶不好找?到核医学科做PET/CT脑显像!》

本内容仅供医学专业人士参考


癫痫

分享到: 更多