当前位置:肿瘤瞭望>资讯>快讯>正文

2024南北汇丨徐菲教授:HER2阳性乳腺癌AR表达情况与免疫浸润及临床预后关系的研究

作者:肿瘤瞭望   日期:2024/4/11 11:51:06  浏览量:8642

肿瘤瞭望版权所有,谢绝任何形式转载,侵犯版权者必予法律追究。

雄激素受体(AR)属于类固醇受体超家族,在各种不同的组织中均有表达,其中就包括女性的乳腺上皮细胞。在女性正常乳腺组织中,雄激素和AR是乳房生理发育所必需的。既往文献一般以阳性染色细胞≥10%作为AR阳性阈值[1]。乳腺癌中,AR表达水平一般在53%~78%,AR激活机制多样,包括经典的依赖雄激素AR激活模式以及非依赖雄激素的AR激活机制。AR在乳腺癌的驱动性未能完全明确,既往研究显示,AR与癌细胞增殖存在一定关联,而AR与不同抗肿瘤治疗方法如内分泌治疗、化疗、靶向治疗等的相关性仍不清晰。本文中,中山大学肿瘤防治中心徐菲教授将为我们介绍HER2阳性(HER2+)乳腺癌AR表达情况与免疫浸润及临床预后的关系。

编者按:雄激素受体(AR)属于类固醇受体超家族,在各种不同的组织中均有表达,其中就包括女性的乳腺上皮细胞。在女性正常乳腺组织中,雄激素和AR是乳房生理发育所必需的。既往文献一般以阳性染色细胞≥10%作为AR阳性阈值[1]。乳腺癌中,AR表达水平一般在53%~78%,AR激活机制多样,包括经典的依赖雄激素AR激活模式以及非依赖雄激素的AR激活机制。AR在乳腺癌的驱动性未能完全明确,既往研究显示,AR与癌细胞增殖存在一定关联,而AR与不同抗肿瘤治疗方法如内分泌治疗、化疗、靶向治疗等的相关性仍不清晰。本文中,中山大学肿瘤防治中心徐菲教授将为我们介绍HER2阳性(HER2+)乳腺癌AR表达情况与免疫浸润及临床预后的关系。
 
中山大学肿瘤防治中心正在进行中的meta分析显示(尚未发表)*,AR表达与整体乳腺癌患者较好的OS(总生存)之间有统计学意义的相关性。但在不同亚型中,这种相关性也有不同。在TNBC(三阴性乳腺癌)中,AR与OS的相关性不明显,但在ER阳性亚型,AR阳性与较好的OS有相关。此外,AR在ER阳性和TNBC中的生存预后意义并不一致(图1)。
 
图1.18项评估AR表达对不同亚型乳腺癌患者OS影响研究的森林图(研究正在进行中)
 
在HER2阳性亚型乳腺癌,AR的预后意义一直不能明确。因此,我们团队启动了一项单中心回顾研究[2]。研究纳入2016年6月至2017年12月于中山大学肿瘤防治中心接受新辅助或术后辅助治疗的HER2阳性且有生存随访信息的554例女性早期乳腺癌患者。入组患者的中位随访时间为53.3个月。AR阳性的中位表达水平为60.0%[四分位距(IQR):20.0~80.0],且AR阳性的患者ER/PR也多呈阳性。
 
表1.用卡方检验分析554例HER2+乳腺癌IDC患者的临床病理特征
 
单中心回顾研究发现[2],AR是HER2阳性乳腺癌OS独立的预后指标,这与是否接受抗HER2治疗无关。Kaplan-Meier生存曲线分析表明,无论这些患者是否接受HER2靶向治疗,AR都与OS密切相关(P=0.001),但与DFS无关(P=0.051)(图2)。
 
图2.根据AR表达HER2+非转移性IDC患者的生存率。根据AR表达,乳腺癌患者的DFS(a)和OS(b)的Kaplan-Meier曲线。
 
AR也是HER2阳性HR阴性乳腺癌独立的OS预后指标。根据Kaplan-Meier生存曲线分析,AR+的HER2+/HR-乳腺IDC患者具有更长的OS(P=0.014)(图3)。
 
图3.根据AR表达(10%),HER2+/HR-非转移性IDC患者的生存率。按AR状态(10%)分层的HER2+/HR-乳腺癌患者的DFS(a)和OS(b)的Kaplan-Meier曲线。
 
研究还发现AR与TILs及肿瘤细胞PD-L1有相关性。在HER2+/HR-乳腺IDC患者中,AR+和AR-样本在年龄、T期和N期方面按1:1匹配。56对已经配对的HER2+/HR-乳腺癌患者中,PD-L1在AR+组的25例和AR-组的38例中表达;中位TILs水平,AR+组为30%,AR-组为37.5%。HER2+/HR-,AR阳性的乳腺癌,TILs(P=0.043)和PD-L1(P=0.027)表达更低。
 
图4.TILs和PD-L1根据AR表达的分布。
 
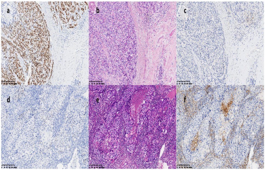
图5.AR+和AR-组中TILs和PD-L1染色的代表性图像(×100放大倍数)
在AR+组(a)中,TILs(b)和PD-L1(c)的表达百分比较低,而在AR−组(d)中,TILs(e)和PD-L1(f)的表达百分比较高
 
在低TILs患者中(cut off值为中位值30%)中,AR表达水平高的患者比AR表达水平低的患者更有可能具有更长的DFS(P=0.168)和OS(P=0.140)。低TILs且AR阳性患者,DFS和OS较长;肿瘤细胞或者免疫细胞PD-L1+且AR阳性患者,DFS和OS均较长。
 
图6.根据AR、TILs和PD-L1表达HER2+/HR-非转移性IDC患者的生存率。
 
研究证明了对于HER2阳性患者,AR与OS也存在密切相关(P=0.001),但与DFS无关(P=0.051)而AR的预后判断与是否接受HER2靶向治疗关系不大;AR阳性患者,TILs及PD-L1表达偏低。但研究样本量有限,影响个别组的数据分析。因此值得进一步的探索。
 
在乳腺癌领域针对AR的治疗探索
 
既往中山大学肿瘤防治中心曾经开展了一项单臂Ⅱ期研究[3],在既往内分泌治疗失败的晚期激素受体阳性HER2阳性人群中使用比卡鲁胺联合依西美坦,研究因为达不到第一阶段的预设结果而提前终止,入组的18名患者6个月CBR为16.7%,中位PFS为2.7个月,所有患者的耐受性良好。另一发表于The Lancet Oncology上的一项Ⅱ期临床研究[4],中位随访时间为7个月,9mg组50名患者中有16名患者临床获益(32%),18 mg组52名患者中有15名患者有临床获益(29%)。
 
表2.可评估人群在每个时间点的EQ-5D VAS评分
 
当然,在针对AR患者的治疗探索中仍然有很多困惑,比如AR与较好的OS相关,在乳腺癌治疗中是否应该激活AR而非抑制AR。而AR与免疫指标有密切关联,是否可以作为一项简便的免疫治疗疗效预测指标。AR阳性患者OS较好,是否可以把AR阳性与否作为分层指标,对不同患者进行风险分层,然后进行不同治疗方式。期待更多研究结果带来更多的答案。
 
参考文献
 
[1]Venema,Clasina M et al.“Androgen and Estrogen Receptor Imaging in Metastatic Breast Cancer Patients as a Surrogate for Tissue Biopsies.”Journal of nuclear medicine:official publication,Society of Nuclear Medicine vol.58,12(2017):1906-1912.doi:10.2967/jnumed.117.193649
 
[2]Zhou,Danyang et al.“The prognostic value and immune microenvironment association of AR in HER2+nonmetastatic breast cancer.”NPJ breast cancer vol.9,1 30.21 Apr.2023,doi:10.1038/s41523-023-00527-0
 
[3]Lu,Qianyi et al.“Bicalutamide plus Aromatase Inhibitor in Patients with Estrogen Receptor-Positive/Androgen Receptor-Positive Advanced Breast Cancer.”The oncologist vol.25,1(2020):21-e15.doi:10.1634/theoncologist.2019-0564
 
[4]Palmieri,Carlo et al.“Activity and safety of enobosarm,a novel,oral,selective androgen receptor modulator,in androgen receptor-positive,oestrogen receptor-positive,and HER2-negative advanced breast cancer(Study G200802):a randomised,open-label,multicentre,multinational,parallel design,phase 2 trial.”The Lancet.Oncology vol.25,3(2024):317-325.doi:10.1016/S1470-2045(24)00004-4
 
徐菲教授
中山大学肿瘤防治中心内科
主诊教授主任医师硕士生导师
中国临床肿瘤学会(CSCO)青委会常务委员
中国临床肿瘤学会(CSCO)乳腺癌专委会委员
中国抗癌协会乳腺癌专委会(CBCS)青年专家组成员
广东省抗癌协会化疗专业委员会常务委员兼秘书
广东省癌症中心乳腺癌诊疗质量控制专家委员会常委兼秘书长
广东省胸部肿瘤防治委员会乳腺癌专业委员会委员兼秘书
中国南方肿瘤临床研究协会(CSWOG)青委会常务委员
 
*本资料仅供医疗卫生专业人士参考,请勿向非医疗卫生专业人士发放
*免责声明:文中尚未发布的数据或者研究仅做参考,请谨慎解读。

 

 

本内容仅供医学专业人士参考


乳腺癌

分享到: 更多