当前位置:肿瘤瞭望>资讯>正文

优例共赏丨一例高龄广泛期小细胞肺癌患者一线应用斯鲁利单抗治疗的病例分享

作者:肿瘤瞭望   日期:2022/11/28 12:14:46  浏览量:11123

肿瘤瞭望版权所有,谢绝任何形式转载,侵犯版权者必予法律追究。

肺癌是肿瘤相关死亡率最高的疾病

▌病例作者:任伟东山西省运城市中心医院
▌点评专家:任秀宝天津医科大学肿瘤医院
 
摘要:肺癌是肿瘤相关死亡率最高的疾病[1]。小细胞肺癌约占所有肺癌患者的15-20%,与吸烟关系密切。小细胞肺癌是肺癌之中侵袭性最强的一种亚型,此类肿瘤恶性程度高、倍增时间短、易发生远处转移,初次就诊时即有约2/3患者被诊为广泛期。广泛期小细胞肺癌(extensive-stage SCLC,ES-SCLC)的有效治疗方案有限。近三十年来,一线标准治疗方案为依托泊苷或伊立替康联合铂类药物化疗,近期有效率约60%,但患者往往短期内出现复发、转移,中位生存期仅有约10个月[2,3],1年总生存率不足40%[4,5],5年总生存率仅为1%左右。但近几年来,随着PD-1和PD-L1等多种免疫检查点抑制剂(Immune checkpoint inhibitors,ICIs)相继应用于临床,ES-SCLC的治疗模式发生了改变,免疫联合化疗成为ES-SCLC患者新的治疗选择。斯鲁利单抗作为上海复宏汉霖首款自主研发的创新生物药PD-1抑制剂,其疗效已在多个瘤种中得到验证。本文通过分享一例高龄ES-SCLC患者一线使用斯鲁利单抗联合化疗的案例,来探索免疫治疗在ES-SCLC患者中的应用。
 
病例作者
任伟东
运城市中心医院
运城市中心医院肿瘤科主治医师
山西省抗癌协会免疫治疗专委会委员
山西省老年学会胸部肿瘤专委会委员
山西省老年学会热疗专委会委员
运城市医学会肿瘤学专委会秘书
 
病例介绍
 
基本情况:王某某,男,82岁
 
主诉:咳嗽7月余。
 
首诊日期:2022年3月。
 
既往史:平素身体健康,否认高血压、糖尿病、脑血管病、冠心病等病史。
 
个人史:吸烟60年,20支/日,已戒烟;否认饮酒史。无特殊化学品及放射线接触史。
 
婚育史:已婚已育,育有1子。配偶曾患有肺结核,已愈。
 
家族史:否认恶性肿瘤家族史。
 
查体:PS评分1分。左下肺呼吸音减低,叩诊浊音。双肺未闻及明显干、湿啰音。
 
▌辅助检查
 
肿瘤标志物(2022-05-18):CEA 38.51ng/ml,胃泌素释放肽8.56ng/ml,CA125 299U/ml。
 
颈部淋巴结彩超(2022-05-18):左颈部肿大淋巴结1.0X0.5cm。
 
头颅MR(2022-05-19):双侧大脑半球脑白质病变;空蝶鞍。
 
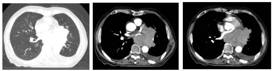
胸部增强CT(2022-05-23):1、左肺门占位(较大截面约7.8cm×8.3cm)伴纵隔多发肿大淋巴结、远端阻塞性肺炎、考虑中央型肺癌,累及左肺动脉及左心房、心室不除外。2、双肺肺气肿。3、左侧胸腔积液,累及左侧胸膜可能。4、心包少量积液。5、肝内多发小囊肿可能。
 
 
支气管镜(2022-05-25):右侧支气管及各叶、段支气管均开口畅,嵴突锐利,少许分泌物,黏膜光滑。左侧支气管畅,左主支气管下端可见粘膜充血、肥厚,累及左肺上下叶开口,下叶开口呈外压性狭窄,管腔狭窄约90%,左肺上叶开口可见粘膜粗糙、肥厚、隆起,表面血管丰富,于此处取活检。
 
骨扫描(2022-05-31):右膝关节处骨髂高代谢,考虑退行性改变;左侧5-7前肋处骨骼稍异常高代谢灶,考虑良性病变。
 
病理结果(2022-05-30):(左肺上叶支气管组织)考虑小细胞癌。
 
免疫组化:CK7-、TTF-1+、Ki-67(index,80%)、CK5/6-、NapsinA-、CK20-、CgA+、Syn+、CD56+、ATRX+、MGMT-、SSTR-2+、RB-、P53倾向突变型表达。
 
▌初步诊断
 
1、左肺小细胞癌(cT4N3M1aⅣA期,广泛期)
 
左肺动脉侵犯
 
心脏侵犯(左心房、左心室)
 
纵隔、颈部淋巴结转移
 
胸腔积液
 
心包积液
 
2、双肺肺气肿
 
▌治疗经过
 
一线治疗:
 
2022-06-01行第1周期斯鲁利单抗300mg+依托泊苷0.1g qd d1-5方案治疗。
 
2022-06-02行顺铂30mg胸腔灌注治疗。
 
2022-06-22至2022-11-21行第2-6周期斯鲁利单抗300mg+依托泊苷0.1g qd d1-5方案治疗。
 
一线治疗疗效评估:
 
患者气短症状减轻。
 
实验室检查:
 
 
影像学评估:
 
2022-07-19(2周期后)胸部、全腹部增强CT:1.肺癌复查,较前(2022-05-23)左肺门占位明显减小,左肺下叶远端阻塞性改变较前范围减小;2.双肺肺气肿;3.左侧胸腔积液,累及左侧胸膜可能,较前略增多;4.心包少量积液,较前增多;5.肝内多发囊肿;右肾上极小囊肿;6.肝左叶内小海绵状血管瘤可能;7.前列腺增大伴钙化。
 
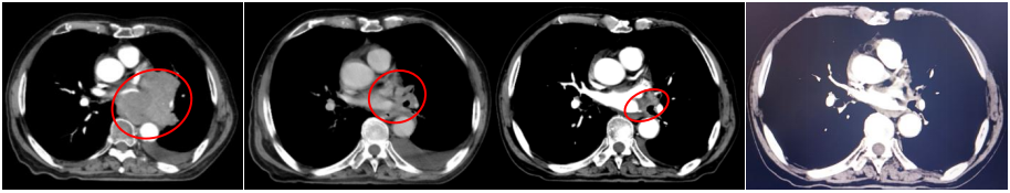
2022-09-30(4周期后)胸部、全腹部增强CT:1.肺癌复查,较前(2022-07-19)左肺门占位减小,左肺下叶远端阻塞性改变较前范围减小;2.双肺肺气肿;3.左侧胸腔积液,累及左侧胸膜可能,较前减少;4.心包少量积液,大致同前;5.肝内多发囊肿;右肾上级小囊肿;6.肝左叶内小海绵状血管瘤可能;7.前列腺增大伴钙化。
 
2022-11-21(6周期后)胸部、全腹部增强CT:左肺门占位较前(2022-09-30)减小,左肺下叶远端阻塞性改变较前变化不大;左侧胸腔积液,累及左侧胸膜可能,较前减少;心包少量积液,大致同前。
 
疗效评估:PR(接近CR)。
 
 
不良反应:
 
皮疹2级,外用皮炎平后减退。
 
▌病例小结
 
 
本例为广泛期、晚期SCLC患者,初次就诊时合并胸腔积液,有咳嗽、胸闷等症状,生活质量欠佳,预后差。根据2022NCCN小细胞肺癌指南及2022CSCO小细胞肺癌诊疗指南等,广泛期小细胞肺癌患者一线用药方案推荐免疫联合化疗。但IMpower133[3]、CASPIAN[2]研究显示,ES-SCLC患者一线应用PD-L1抑制剂联合EP/EC方案化疗,中位OS仅延长2个月左右。根据2022ASCO会议上公布的ASTRUM-005[6]研究中期分析结果,ES-SCLC患者一线应用斯鲁利单抗联合化疗方案,中位OS达15.4个月,较对照组延长约4.5个月。
 
该患者82岁,合并双肺肺气肿,且体质较差,综合考虑后,一线系统治疗方案采用斯鲁利单抗联合依托泊苷单药化疗,同时给予胸腔内灌注顺铂控制胸腔积液。采用此方案治疗1周期后,患者咳嗽、胸闷症状改善,肿瘤标志物较前下降;2周期系统治疗后,病灶出现显著缩小,疗效评价达PR,效果显著。此后的治疗过程中,继续应用斯鲁利单抗联合依托泊苷单药化疗,第4周期治疗后,影像学提示肿瘤仍持续缩小。且在整个治疗过程中,患者未出现明显免疫相关不良反应(irAE),安全性良好。此成功案例表明,斯鲁利单抗联合弱化疗方案是高龄患者或无法耐受化疗毒副作用人群的优化选择。
 
点评专家
任秀宝教授
天津医科大学肿瘤医院
生物治疗科主任
主任医师,博士生导师
天津市肿瘤免疫与生物治疗重点实验室主任
中国医药生物技术协会常务理事
中国医药生物技术协会医药生物技术临床应用专业委员会副主任委员兼秘书长
中国免疫学会肿瘤免疫与生物治疗分会副主任委员
先后主持国家科技攻关计划、国家973专项课题、国家自然科学基金、天津市科委重点项目等十余项,科研经费总计达1000多万元。近5年发表SCI收录论文30余篇(通讯作者)。获省部级科研奖励2项,专利授权1项,获“国家特支计划”百千万工程领军人才等荣誉称号,享受国务院特殊津贴
 
病例点评
 
ES-SCLC患者的治疗历来是肿瘤治疗中的难题。此前几十年间,依托泊苷或伊立替康联合铂类治疗是ES-SCLC患者的一线标准治疗方案,虽近期有效率高,但极易出现复发、转移,生存期短,预后差。随着IMpower133[3]、CASPIAN[2]研究结果的公布,PD-L1抑制剂联合化疗成为ES-SCLC患者新的选择。但PD-1抑制剂联合化疗的探索屡屡受挫。直至在2022年ASCO会议上,上海复宏汉霖生物技术有限公司公布了ASTRUM-005[4]研究中期分析结果,试验组(斯鲁利单抗+EC方案)和对照组(安慰剂+EC方案)患者的中位总生存期分别为15.4个月vs.10.9个月(HR=0.63),打破了PD-1抑制剂联合化疗治疗小细胞肺癌无效的魔咒,为ES-SCLC患者带来了新的选择。研究表明,斯鲁利单抗可显著延缓疾病进展,试验组和对照组患者的中位PFS分别为5.7个月vs.4.3个月(HR=0.48);6个月无进展生存率分别是48.1%vs.19.7%。据此,今年4月,斯鲁利单抗作为IA类证据被纳入2022 CSCO小细胞肺癌诊疗指南ES-SCLC一线治疗III级推荐,且研究结果刊登在JAMA杂志。
 
老年患者往往合并基础疾病,PS评分较高,体质较差,罹患肿瘤后往往无法耐受标准化疗带来的毒副作用,临床决策时需谨慎选择治疗方案。2022 CSCO小细胞肺癌诊疗指南推荐,对于老年SCLC患者,不能仅根据年龄确定治疗方案,根据机体功能状态治疗更有意义;治疗方案首先考虑依托泊苷/铂类方案;若患者无法耐受标准化疗,可进行单药方案或者减量联合方案;对体弱患者或不愿接受静脉用药的患者,可考虑口服依托泊苷;对于一般情况差的患者,应以支持治疗为主。本案例因基础状况欠佳,一线采用斯鲁利单抗联合单药依托泊苷治疗,不仅疗效显著,且未出现明显不良反应,安全性好,患者可耐受,提高了患者的治疗依从性。这无疑为老年患者用药方案提供了更多选择。
 
这一真实世界中应用斯鲁利单抗联合化疗的ES-SCLC案例,为斯鲁利单抗的临床应用积累了真实数据,并进一步证明了斯鲁利单抗能够为ES-SCLC患者带来理想的疗效。斯鲁利单抗为众多肺癌患者带来了更为多样化、个体化的抉择机会,而且其在ES-SCLC患者中的优异表现,无疑使其成为此类患者的优化选择。
 
▌参考文献
 
[1]Siegel R L,Miller K D,Jemal A.Cancer statistics,2020[J].CA Cancer J Clin,2020,70(1):7-30.
 
[2]Goldman J W,Dvorkin M,Chen Y,et al.Durvalumab,with or without tremelimumab,plus platinum-etoposide versus platinum-etoposide alone in first-line treatment of extensive-stage small-cell lung cancer(CASPIAN):updated results from a randomised,controlled,open-label,phase 3 trial[J].Lancet Oncol,2021,22(1):51-65.
 
[3]Liu S V,Reck M,Mansfield A S,et al.Updated Overall Survival and PD-L1 Subgroup Analysis of Patients With Extensive-Stage Small-Cell Lung Cancer Treated With Atezolizumab,Carboplatin,and Etoposide(IMpower133)[J].J Clin Oncol,2021,39(6):619-630.
 
[4]Lara P N,Jr.,Natale R,Crowley J,et al.Phase III trial of irinotecan/cisplatin compared with etoposide/cisplatin in extensive-stage small-cell lung cancer:clinical and pharmacogenomic results from SWOG S0124[J].J Clin Oncol,2009,27(15):2530-5.
 
[5]Zatloukal P,Cardenal F,Szczesna A,et al.A multicenter international randomized phase III study comparing cisplatin in combination with irinotecan or etoposide in previously untreated small-cell lung cancer patients with extensive disease[J].Ann Oncol,2010,21(9):1810-1816.
 
[6]Cheng Y,Han L,Wu L,et al.Effect of First-Line Serplulimab vs Placebo Added to Chemotherapy on Survival in Patients With Extensive-Stage Small Cell Lung Cancer:The ASTRUM-005 Randomized Clinical Trial[J].JAMA,2022,328(12):1223-1232.

 

本内容仅供医学专业人士参考


肺癌

分享到: 更多