当前位置:肿瘤瞭望>资讯>正文

例精图治丨有的放矢,赫赛汀助力晚期胃癌获得更长OS

作者:肿瘤瞭望   日期:2020/12/7 11:16:17  浏览量:15813

肿瘤瞭望版权所有,谢绝任何形式转载,侵犯版权者必予法律追究。

编者按:本期“例精图治”,浙江大学医学院附属第一医院的朱侃恺教授为我们介绍了一例初诊Ⅳ期胃癌伴有肝转移和多种并发症患者的病例。该患者入院时情况较差,经MDT讨论后进行了3周期FOLFOX方案化疗,患者消化道症状改善,但临床影像学评效为PD。后行IHC检测发现其HER2过表达,遂给予FOLFOX+T(赫赛汀)方案进行治疗,达到PR后行手术治疗,术后仍旧给予原方案进行辅助治疗,最终患者取得了28个月的OS。本期病例提示,明确患者疾病后应早期检测其HER2状态,可使患者得到更为针对性的治疗,使患者生存期更长。

 病例介绍


患者初诊信息:


患者, 女,62岁;2011年因“反复上腹隐痛,恶心呕吐黑便”入院。


相关检查:

  • 查体:贫血貌、上腹轻压痛、移动性浊音(-)、震水音(-)

  • 化验:大便OB:++、Hb:92.8g/L

  • 肿瘤标志物:CEA:14.2ug/L、CA199≥12000 U/mL

  • 胃镜提示:十二指肠球部溃疡(2.5cm)伴有不全性梗阻,幽门增生病灶待查

  • 病理诊断:幽门粘膜慢性炎症伴重度异形增生癌变。

  • 免疫组化:p53(-);ki67(+50%)


影像学表现:


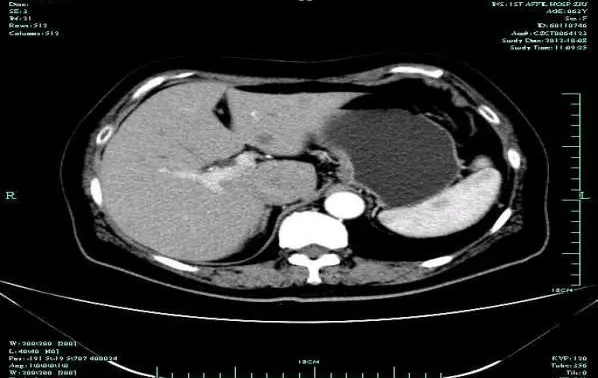
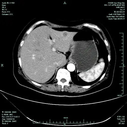
  • CT示:肝转移


  • MR示:


临床分期:cT4bN1M1,cStageⅣ


诊疗过程:


针对该患者目前的病情,我们该采取何种治疗手段?手术加辅助治疗?化疗?最佳支持治疗?

 


经过MDT讨论选择了行FOLFOX化疗方案,同时予以抑酸、止血以及肠内营养支持,暂时不考虑手术。


经3周期FOLFOX化疗后:


患者症状改善,进食完全正常,无恶心呕吐。

大便常规:隐血强阳性转为阴性;

血常规:Hb:9~10g/L;

肿瘤标志物:CEA:20ug/L;CA199无变化。


CT-T


CT-H1


MR-H1


影像学检查结果评估:cPD。


当时,我国SFDA批准赫塞汀的适应症是联合5-FU或卡培他滨和顺泊用于既往未接受针对转移性疾病治疗的HER2过度表达的转移性胃腺癌或胃食管结合部癌(2012-08)。

 


ToGA试验的结果揭开了胃癌靶向治疗的序幕,HER2阳性晚期胃癌患者经曲妥珠单抗联合化疗治疗,OS延长至16个月。


基于ToGA研究结果、以及我国曲妥珠单抗胃癌适应症获批,进行下一步治疗:外院胃镜切片标本再会诊:HER2 IHC +++


  • 再次入院:改用FOLFOX+T(起始 8mg/kg)(2012-08)


  • 第二次行FOLFOX+T(维持6mg/kg)



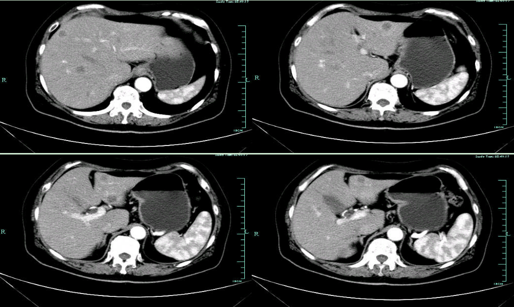
  • 第三次FOLFOX+T方案后 B超提示肝转移灶消失


  • 9 次FOLFOX+T+放疗


疗效评估:cPR


下一步治疗策略评估:维持化疗+靶向?手术时机?


经院内MDT讨论后:2013.6.13 行“肝转移灶切除+右半结肠切除+胰十二指肠切除+Child重建”


术后病理:(胃窦部)溃疡型中低分化腺癌伴淋巴结转移性癌,侵犯十二指肠及胰腺;(肝)腺癌浸润或转移,符合胃肠道来源


TNM分期:pT4bN1M1(Ⅳ期) HER2 IHC +++

 

  • 术后治疗方案:继续行FOLFOX联合曲妥珠单抗化疗

辅助治疗过程图解


专家点评


该病例中的女性患者,确诊时已出现肝转移。对于胃癌肝转移的治疗,系统综述研究结果显示:原发灶和肝转移灶均能完全切除的胃癌患者可明显改善预后。经MDT讨论后,该患者暂无最佳手术机会,选择FOLFOX化疗方案。


TOGA研究是第一个使用HER2抑制剂曲妥珠单抗治疗不能手术的局部晚期、复发或转移的HER2阳性胃癌患者的Ⅲ期临床研究。TOGA研究结果显示,IHC2+/FISH阳性或者IHC3+的患者与对照组相比,OS分别为16.0个月和11.8个月(HR为0.65)。曲妥珠单抗联合化疗显著提高了HER2阳性晚期转移性胃癌的治疗缓解率和总体生存率。2012年8月,曲妥珠单抗治疗HER2阳性转移性胃癌适应症在我国获批。对该患者进行病理切片会诊,幸运的是其HER2检测为阳性。随即进行靶向联合化疗治疗,三个周期后,肝转移灶消失,曲妥珠单抗治疗效果显著。九个周期的靶向治疗联合放化疗后,疗效评估cPR,随即行手术治疗。


国内胃癌诊治规范和指南以及HER2检测指南提出,包括内镜和手术标本;原发和复发病灶标本,初次和多次检测在内的所有胃癌标本均需明确HER2状态,可以说HER2的检测已成为胃癌诊治中必不可少的环节。


MDT的诊疗模式可以提高胃癌的诊疗治疗,改善患者预后。该病例也是在MDT诊疗模式下,通过各学科专家协作,经讨论后做出准确分期、个体化、精准的全程诊疗方案对于病人获得满意的生存期是有益的。MDT诊疗在胃癌临床诊疗中发挥重要作用。


病例报告者简介

朱侃恺

医学硕士 副主任医师

浙江大学医学院附属第一医院胃肠外科

英国皇家自由医院访问学者

 

病例点评专家简介

高原

浙江大学医学院附属第一医院胃肠外科主任医师  医学博士

中国医师协会外科医师分会上消化道外科医师委员会委员

浙江省抗癌协会胃肠道间质瘤专业委员会副主任委员

浙江省抗癌协会胃癌专业委员会委员


本内容仅供医学专业人士参考


赫赛汀

分享到: 更多